Reason why King Charles can confiscate royal children’s toys, revealed

Princess Charlotte, the second child of the Prince and Princess of Wales, is a unique member of the royal family. Despite being the granddaughter of the King and...

Woman Discovers Husband’s Heartbreaking Secret After Late Nights and Financial Betrayal

When Jason and I first met, it felt like fate. He was calm, thoughtful, and had a quiet, nerdy charm that drew me in. We bonded instantly over...

My Parents Said She’s “Too Big” for Me—But They Don’t Know What I’m About to Do

Last Sunday, I brought my fiancée, Mallory, to meet my parents officially. She’s tall, broad-shouldered, platinum blonde—not a size two—but the warmest, sharpest, most loyal person I’ve ever...

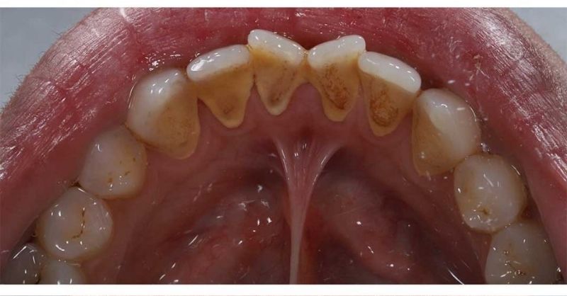
7 top hacks to get rid of unsightly tartar stains

Tartar, also known as dental calculus, is a hardened form of plaque that forms on teeth and along the gumline. It develops when plaque, a sticky film of...

10 foods you should eat to rebuild knee cartilage

Knee cartilage plays a crucial role in joint function by cushioning bones, absorbing shock, and ensuring smooth movement. Over time, aging, injuries, or conditions like osteoarthritis can lead...

Mouse Repellent: 7 Natural Tips to Keep Mice Out of Your Home (Matches & Tomato Hack Included!)

Tired of mice sneaking in? Instead of using harsh chemicals, try these simple, natural solutions with ingredients you probably already have at home. One unexpected trick? Matches and...

My Ex-husband’s New Wife Sent Me a Bill for ‘Expenses Caused by Me’

I had been divorced from Matt for two years. Life had moved on—or so I thought. Then his new wife, Stephanie, decided to send me a bill for...

Don’t sleep with your pets, don’t risk your life, here’s why

How close is your bond with your pet? Do you cuddle with them, give them kisses, or even share a bed? While this kind of close connection can...

I Sent Wedding Invitations Featuring a Picture of My Fiancé and Me to My Three Close Friends – and Suddenly, They All Backed Out

I was thrilled to finally share my wedding invitations—complete with a picture of my fiancé and me—with my three closest friends. But instead of excitement, I got silence....

My 16-Year-Old Son Went to Stay with His Grandmother for the Summer – One Day, I Got a Call from Her

When my 16-year-old son offered to spend the summer taking care of his disabled grandmother, I thought he’d finally turned a corner. But one night, a terrifying call...